
“건강은 잃고 나서야 소중함을 알게 됩니다.”
하지만 우리는 지금, 미리 알고 준비할 수 있는 나이에 와 있어요.
안녕하세요,
오늘은 많은 분들이 궁금해하시는 40~50대에 꼭 받아야 할 건강검진 항목을 정리해드릴게요.
이 시기의 검진은 단순한 체크리스트가 아닙니다.
앞으로 10년, 20년을 건강하게 살기 위한 가장 중요한 예방책이에요.



🧭 왜 40~50대 건강검진이 중요한가요?
40~50대는 몸에서 이상 신호가 슬슬 올라오기 시작하는 시기입니다.
젊을 땐 한 번도 느끼지 못했던 피로감, 위장 불편, 체중 변화, 밤잠 설침...
이런 증상들이 '내 몸이 바뀌고 있다'는 신호일 수 있어요.
이때의 검진은 질병을 조기에 발견하고, 예방하는 데 큰 역할을 합니다.
한 해만 지나도 건강 상태가 크게 바뀌는 나이,
미리 알고 준비하는 것이 가장 현명한 방법이에요.



📝 꼭 체크해야 할 건강검진 항목 리스트
✅ 공통 필수 항목 (남녀 모두 해당)
| 혈압 검사 | 고혈압은 뇌졸중·심근경색의 주요 원인 | 매년 |
| 공복 혈당 검사 | 당뇨병 조기발견 가능 | 매년 |
| 콜레스테롤 검사 | 고지혈증은 혈관 건강의 적 | 1~2년 |
| 간 기능 검사 | 간염, 지방간 등 무증상 질환 확인 | 1~2년 |
| 신장 기능 검사 | 신장 이상 조기진단 | 1~2년 |
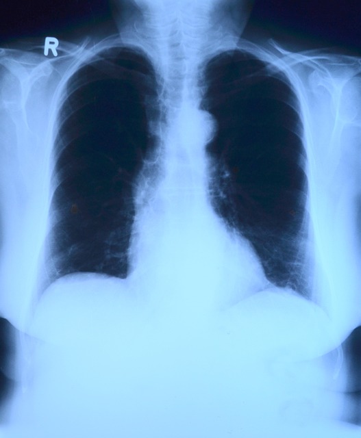
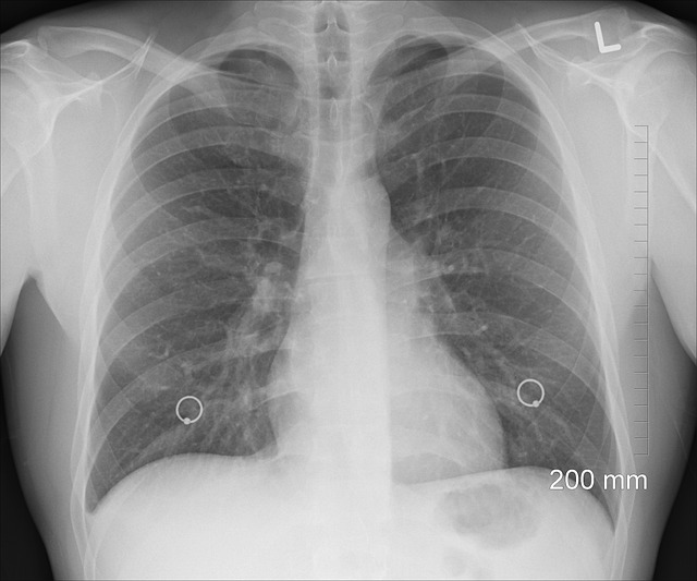
| 흉부 X-ray | 폐질환, 폐암 등 확인 | 매년 |
| 체질량지수(BMI), 허리둘레 | 비만, 대사증후군 판별 | 매년 |
| 소변 검사 | 당, 단백뇨, 요로 감염 등 확인 | 매년 |
이 항목들은 대부분 건강보험공단에서 2년에 한 번 제공하는 일반 건강검진에 포함되어 있어요.
무료로 받을 수 있다는 사실, 알고 계셨나요?



👩 여성에게 추천되는 추가 검사
| 유방촬영(맘모그래피) | 유방암 조기진단 | 40세 이상 |
| 자궁경부세포검사 | 자궁경부암 예방 | 20세 이상 여성 |
| 골밀도 검사 | 골다공증 초기 발견 | 폐경 전후 여성 |
특히 폐경이 시작되거나 월경 주기가 바뀌기 시작한 분들에겐
골다공증과 유방암 검진은 선택이 아닌 필수예요.



👨 남성에게 추천되는 추가 검사
| PSA(전립선특이항원) 검사 | 전립선암 조기발견 | 50세 이상 |
| 복부 초음파 | 지방간, 췌장, 담낭 이상 여부 확인 | 40대 후반 이상 |
많은 중년 남성들이 복부비만과 간 건강 이상을 겪고 있어요.
‘배 나온 것’ 하나로 끝나는 게 아니라 내장지방, 지방간, 고지혈증으로 연결되기 때문에
복부초음파 검사는 꼭 챙기시길 추천드려요.



🍽️ 소화기 검진, 그냥 넘어가지 마세요
| 위내시경 | 위염, 위궤양, 위암 등 조기진단 | 2년 |
| 대장내시경 | 대장용종, 대장암 예방 | 5~10년 |
위암과 대장암은 한국인에게 흔한 암이에요.
특히 가족력이 있다면, 더 자주 검사하셔야 합니다.
위내시경은 40세 이상부터 건강검진에 포함되며, 대장내시경은 50세 이상 강력 권장합니다.



💡 챙기면 좋은 선택 검사
- 심전도 검사 : 부정맥이나 심장질환 체크
- 경동맥 초음파 : 뇌졸중 예방용으로 50대부터 추천
- 뇌 MRI/CT : 어지럼증·두통·기억력 저하가 잦다면 필요
- 헬리코박터균 검사 : 위암 위험도에 영향 주는 균 검사
이런 검사는 건강보험공단 검진에 포함되어 있지는 않지만
필요 시 병원에서 자비로 검사받을 수 있습니다.
🧡 나를 아끼는 첫걸음, 건강검진
사실, 건강검진 결과지를 받았을 때
"수치가 뭔지 모르겠다"는 분들 정말 많아요.
그럴 땐 어떻게 해야 할까요?
✔️ 병원에서 결과 상담 받기
✔️ 챗GPT에 수치 입력해 간단 요약받기
✔️ 검진 후 식단이나 운동 계획도 AI에게 추천받기
이렇게 디지털과 함께 건강을 챙기는 시대가 되었어요.
우리는 몸과 마음을 동시에 돌볼 수 있는 지혜로운 중년이 되어야겠죠.
✍️ 이웃님들께...
아프지 않을 때 병원을 가는 사람은
자신의 미래에 투자하는 사람입니다.
40대, 50대는 그냥 지나가면 안 되는 중요한 시기예요.
꼭 필요한 건강검진 항목들, 이 글을 통해 다시 한 번 확인하시고
주변 가족들과도 함께 나누어보세요.